Logo

CARTELERA INFORMATIVA

10 de julio de 2014
Jhonatan Rodríguez

StopVIH rechaza acusaciones del diputado a la AN Henry Ventura

Jonathan Rodríguez, presidente de StopVIH, dijo estar consciente que algunos funcionarios de gobierno tienen como línea el ataque a las organizaciones no gubernamentales para acallar debilidades, para desprestigiar el loable trabajo que realizan e intentar aniquilar a los defensores de derechos humanos, porque saben que su voz es la del pueblo directamente afectado. “La fuente directa de StopVIH son los usuarios del programa de distribución de medicamentos antirretrovirales gratuitos y su drama de no encontrar los fármacos solo se ha conocido por el coraje de las ONG que asumen como suya esta preocupación, el gobierno solo desmiente, las ONG actuamos”, enfatizó. Según el Diputado Ventura, debería investigarse a StopVIH por alertar sobre el  incremento del VIH-Sida en el país, por el aumento en la tasa de mortalidad por sida en Venezuela, así como por acciones terroristas y por el enriquecimiento de la ONG a costa de esta patología. (leer más)

RSE

Mensaje transformador de StopVIH inspira responsabilidad social de empresas

Desde cualquier área de desempeño la responsabilidad social empresarial puede hacerse sentir. Es el caso de la empresa Cronosteel, una empresa de ingeniería dedicada a la producción de estructuras, suministros y proyectos, pero que entre sus aportes está apoyar a instituciones en el ámbito de la educación, la salud y el medio ambiente. (leer más)

Escasez

Entre 11 y 19 fármacos para tratar el VIH escasean cada mes en Venezuela

En virtud que el Gobierno venezolano ha hecho caso omiso a la declaratoria de la Organización Panamericana para la Salud que colocó al país en el primer lugar en desabastecimiento de medicamentos para tratar el VIH y el sida en América Latina, personas que viven con el Virus de Inmunodeficiencia Humano (VIH) testimonian la grave situación con la esperanza que finalmente se acepte y resuelva la grave circunstancia. Registros de organizaciones vinculadas aseguran que en promedio este año han faltado en promedio entre 11 y 19 tipos de antirretrovirales al mes, y adquirirlos de manera privada está por encima de 5.000 bolívares mensuales.(leer más)

Kaposi

Mes de Julio recuerda primer caso de cáncer relacionado con el Sida

El 3 de julio de 1981 se informó el descubrimiento de una forma rara de cáncer dándole el nombre de sarcoma de Kaposi, en octubre se declara a la nueva enfermedad como epidemia y en diciembre le llaman “el cáncer gay” relacionándola con la práctica sexual e intercambio de sangre. (leer más)

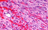
Sarcoma

Antirretroviral en personas con Sarcoma de Kaposi es una emergencia

El doctor Carlos Pérez, médico infectólogo del Hospital del Oeste Los Magallanes de Catia, explica que el Sarcoma de Kaposi (SK) es un cáncer que provoca el crecimiento de zonas de tejido anormal bajo la piel, en la membrana que recubre la boca, la nariz, la garganta, la piel de la cara  y la planta de los pies. Advierte que en las personas con VIH ó SIDA la enfermedad avanza rápidamente.  “El SK en pacientes con VIH aparece cuando la inmunidad está muy deteriorada, generalmente con niveles de Linfocitos TCD4+ por debajo de 100, que suele presentarse cuando el usuario tiene muchos años de haber contraído la infección por el VIH sin diagnóstico o sin tomar tratamiento antirretroviral”, explica. (leer más)

Algunos de nuestros aliados y colaboradores

Nuestros aliados

¡Gracias por permitirnos informarle!
Organización StopVIH © 2008-2014
Portal web | Contáctanos